Pepe ist ein fröhlicher kleiner Schatz, der dringend ein Zuhause sucht.
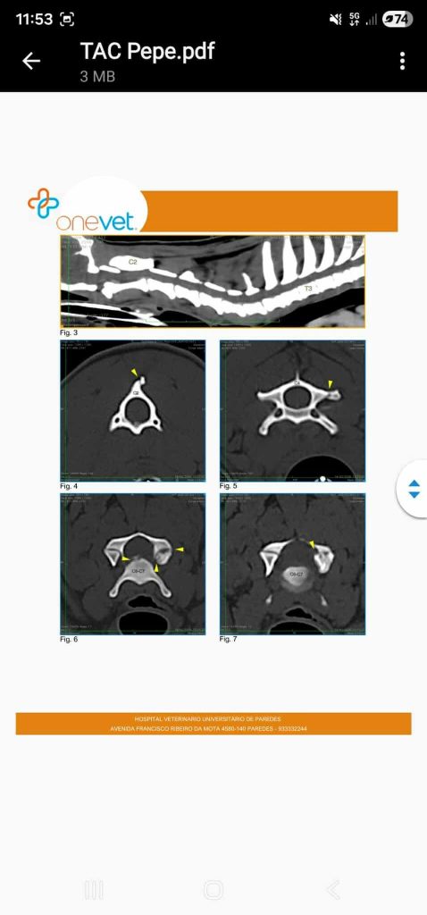
Der Rüde hat ein Handicap, er läuft linksseitig krumm und stolpert. Wir haben Pepe gründlich untersucht und mit trauriger Wahrscheinlichkeit hat sich bestätigt… er muss einen Schlag auf die Halswirbelsäule und den Kopf bekommen haben… Es ist nichts tumoröses und es ist nicht behandelbar, sondern sein Handicap.Pepe ist ein besonderer Hund, der besondere Menschen braucht, die ihn so lieben wie er ist. Er ist fröhlich, verschmust und etwas wackelig auf den Beinen.
Pepe kann ein normales Leben führen und sucht dringend ein Zuhause.
SH 34cm































